
Expert.Med Report
What an Expert report looks like
We break complex medical findings into clear highlights, summarize what matters most, and show exactly where our opinion matches — or differs from — the original report.

Plain-Enlgish highlight
AI Summary
Agreement/ Disagreement
Case Overview
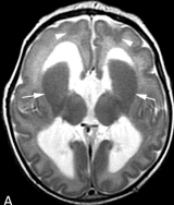
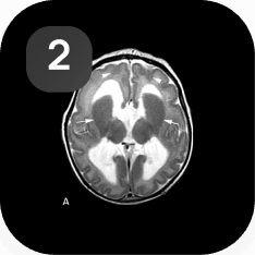
A 29-year-old male presents with persistent headache, requiring exclusion of intracranial pathology...
Question:
I’ve been having frequent headaches. Is there anything on the MRI that could explain them, or anything subtle that should be looked at more closely?
Original report:
Inconclusive
Body area:
🧠 Brain / Intracranial structures
Imaging type:

MRI
DICOM Images:
Brain .DIC...

T-1 T-12 .DI...

Report .PDF
Expert Report
This is the same structure you receive — nothing removed, nothing simplified.
Neuro MRI Summary
Your brain MRI shows no evidence of any serious problems such as stroke, tumor, or other concerning abnormalities.
All three radiologists agreed that the brain tissue, blood vessels, and major structures appear normal and healthy.
There are some minor differences noted between the reports regarding the size of fluid-filled spaces in your brain (ventricles) and the position of a part of your cerebellum (cerebellar tonsils), but these variations fall within normal ranges.
The only finding that might relate to your headaches is some mild inflammation or mucus buildup in your sinuses, which was seen by two of the three radiologists.
Overall, this is reassuring news - your brain MRI does not show any structural cause for your headaches.
Expert AI Summary
Brain Tissue
The brain tissue shows normal structure with proper distinction between gray and white matter, and no abnormal areas or lesions
Verified by 3/3
No signs of stroke or acute lack of blood flow to the brain
Verified by 3/3
No tumors or mass lesions present in the brain
Verified by 3/3
Brain Structure
The midline structures of the brain are properly positioned with no shifting or pressure effects
Verified by 3/3
Ventricles
The fluid-filled spaces (ventricles) in the brain are at the upper limits of normal size, but no signs of fluid buildup (hydrocephalus)
Verified by 1/3
The fluid-filled spaces (ventricles) in the brain are mildly narrow, likely a normal variation
Verified by 1/3
The fluid-filled spaces (ventricles) in the brain are symmetric and within normal limits
Verified by 1/3
Brain Surface
The grooves on the brain surface (sulci) and surrounding fluid spaces appear normal for age
Verified by 2/3
Slightly more prominent grooves at the front of the brain, likely within normal variation
Verified by 1/3
Posterior Fossa
The cerebellum (balance center at the back of the brain) appears normal in structure and signal
Verified by 3/3
The brainstem appears normal
Verified by 3/3
The cerebellar tonsils (bottom part of the cerebellum) extend 3-4 mm below the skull opening, representing mild tonsillar ectopia without features of Chiari malformation
Verified by1/3
The cerebellar tonsils are at the normal level of the skull opening without downward displacement
Verified by 1/3
The cerebellar tonsils are positioned slightly above the skull opening
Verified by 1/3
Pituitary and Surrounding Structures
The pituitary gland (hormone gland at the base of the brain) is normal in size and appearance
Verified by2/3
The pituitary gland shows mild upward convexity, likely a normal variation for age
Verified by 1/3
Eyes and Optic Nerves
The optic nerves and eye structures appear normal
Verified by 3/3
Ears
The inner ear canals are symmetric and normal
Verified by 3/3
Sinuses
Mild inflammation or mucus thickening in the maxillary and ethmoid sinuses, which may contribute to headaches
Verified by1/3
Partial opacification (cloudiness) of the sphenoid sinus, which may be associated with headaches
Verified by 1/3
The paranasal sinuses are otherwise clear
Verified by 1/3
Radiologists:

Dr Sam Ramsey
Neuro Specialist

Dr Sara Williams
Neuro Specialist

Dr Garry Smith
Radiologist
Your Brain MRI Results - Simple Explanation
The Good News First! 🎉
All three doctors agree: Your brain MRI looks normal. There's no sign of:
Stroke or mini-strokes
Brain tumors or masses
Brain damage or injury
Bleeding or fluid buildup
What the Doctors Found
Think of your brain scan like a detailed map of your brain. Here's what they noticed:
1. Minor Differences in Brain Fluid Spaces
Doctor A saw slightly larger spaces on the front of your brain (probably normal for you)
Doctor B said your brain's fluid chambers are at the upper end of normal
Doctor C said these chambers are slightly narrow
What this means: These are just normal variations - like how some people have bigger or smaller shoe sizes. Nothing concerning here.
2. Cerebellar Tonsils Position
This is a small structure at the bottom of your brain.
Doctor A noticed it extends 3-4 mm lower than typical, calling it "mild tonsillar ectopia"
Doctors B and C said it's in normal position
What this means: There's a slight disagreement, but even Doctor A said this doesn't show signs of a condition called Chiari malformation. It's a minor finding that may not mean anything.
3. Sinus Issues
Doctors A and C found some irritation/swelling in your sinuses
Doctor B didn't mention sinus problems
What this means: You likely have some sinus inflammation (like mild sinusitis), which actually could be causing your headaches!
Bottom Line
✅ Your brain structure is healthy and normal
✅ No serious problems were found
✅ The sinus inflammation might be contributing to your headaches
Next Steps
Talk to your doctor about:
Treating the sinus inflammation
Whether the minor cerebellar finding needs follow-up
Other causes of your headaches if sinus treatment doesn't help
Remember: This scan ruled out serious brain problems, which is excellent news! Your headaches likely have a simpler, treatable cause.
Explain this in simple terms
do i need to do any follow ups?
Should You Do Follow-Up Scans or Tests?
Based on these reports, here's what might need follow-up:
🔍 Likely Needs Discussion (But Probably Not Urgent)
The Cerebellar Tonsil Finding
Doctor A mentioned the cerebellar tonsils extending 3-4 mm below normal and recommended "clinical correlation."
What "clinical correlation" means: Your doctor should:
Ask about specific symptoms like:
Headaches that get worse when you cough, sneeze, or strain
Neck pain
Balance problems
Numbness or tingling in hands/feet
If you DON'T have these symptoms: You probably don't need immediate follow-up imaging
If you DO have these symptoms: Your doctor might order additional scans of your neck area or refer you to a neurologist
🤧 Definitely Follow Up On
The Sinus Problems
Two doctors mentioned sinus inflammation, which could be causing your headaches!
You should:
See your primary care doctor or an ENT specialist
Try treatment for sinusitis (may include nasal sprays, antibiotics if bacterial, or allergy management)
See if your headaches improve with sinus treatment
❌ What You Probably DON'T Need
Repeat brain MRI - unless your symptoms change significantly
Emergency follow-up - nothing urgent was found
Brain surgery or procedures - no serious abnormalities detected
📋 My Recommendation
Schedule a regular appointment (not urgent) with your doctor to:
Discuss the sinus findings and get treatment
Review whether your symptoms match the minor cerebellar finding
Make a plan for your headaches
Important: I can't tell you definitively what follow-up you need - only your doctor who knows your full medical history and can examine you can make that decision. But based on these reports, this doesn't appear to be an emergency situation.
Do your headaches have any of those specific symptoms I mentioned (worse with coughing/straining)?
Expert AI
You can ask anything about your MRI reprot
Ask a question about report
Summary
Report 1
Report 2
Report 3
Neuro MRI Summary
Your brain MRI shows no evidence of any serious problems such as stroke, tumor, or other concerning abnormalities.
All three radiologists agreed that the brain tissue, blood vessels, and major structures appear normal and healthy.
There are some minor differences noted between the reports regarding the size of fluid-filled spaces in your brain (ventricles) and the position of a part of your cerebellum (cerebellar tonsils), but these variations fall within normal ranges.
The only finding that might relate to your headaches is some mild inflammation or mucus buildup in your sinuses, which was seen by two of the three radiologists.
Overall, this is reassuring news - your brain MRI does not show any structural cause for your headaches.
Expert AI Summary
Brain Tissue
The brain tissue shows normal structure with proper distinction between gray and white matter, and no abnormal areas or lesions
Verified by 3/3
No signs of stroke or acute lack of blood flow to the brain
Verified by 3/3
No tumors or mass lesions present in the brain
Verified by 3/3
Brain Structure
The midline structures of the brain are properly positioned with no shifting or pressure effects
Verified by 3/3
Ventricles
The fluid-filled spaces (ventricles) in the brain are at the upper limits of normal size, but no signs of fluid buildup (hydrocephalus)
Verified by 1/3
The fluid-filled spaces (ventricles) in the brain are mildly narrow, likely a normal variation
Verified by 1/3
The fluid-filled spaces (ventricles) in the brain are symmetric and within normal limits
Verified by 1/3
Brain Surface
The grooves on the brain surface (sulci) and surrounding fluid spaces appear normal for age
Verified by 2/3
Slightly more prominent grooves at the front of the brain, likely within normal variation
Verified by 1/3
Posterior Fossa
The cerebellum (balance center at the back of the brain) appears normal in structure and signal
Verified by 3/3
The brainstem appears normal
Verified by 3/3
The cerebellar tonsils (bottom part of the cerebellum) extend 3-4 mm below the skull opening, representing mild tonsillar ectopia without features of Chiari malformation
Verified by1/3
The cerebellar tonsils are at the normal level of the skull opening without downward displacement
Verified by 1/3
The cerebellar tonsils are positioned slightly above the skull opening
Verified by 1/3
Pituitary and Surrounding Structures
The pituitary gland (hormone gland at the base of the brain) is normal in size and appearance
Verified by2/3
The pituitary gland shows mild upward convexity, likely a normal variation for age
Verified by 1/3
Eyes and Optic Nerves
The optic nerves and eye structures appear normal
Verified by 3/3
Ears
The inner ear canals are symmetric and normal
Verified by 3/3
Sinuses
Mild inflammation or mucus thickening in the maxillary and ethmoid sinuses, which may contribute to headaches
Verified by1/3
Partial opacification (cloudiness) of the sphenoid sinus, which may be associated with headaches
Verified by 1/3
The paranasal sinuses are otherwise clear
Verified by 1/3
Radiologists:

Dr Sam Ramsey
Neuro Specialist

Dr Sara Williams
Neuro Specialist

Dr Garry Smith
Radiologist
Your Brain MRI Results - Simple Explanation
The Good News First! 🎉
All three doctors agree: Your brain MRI looks normal. There's no sign of:
Stroke or mini-strokes
Brain tumors or masses
Brain damage or injury
Bleeding or fluid buildup
What the Doctors Found
Think of your brain scan like a detailed map of your brain. Here's what they noticed:
1. Minor Differences in Brain Fluid Spaces
Doctor A saw slightly larger spaces on the front of your brain (probably normal for you)
Doctor B said your brain's fluid chambers are at the upper end of normal
Doctor C said these chambers are slightly narrow
What this means: These are just normal variations - like how some people have bigger or smaller shoe sizes. Nothing concerning here.
2. Cerebellar Tonsils Position
This is a small structure at the bottom of your brain.
Doctor A noticed it extends 3-4 mm lower than typical, calling it "mild tonsillar ectopia"
Doctors B and C said it's in normal position
What this means: There's a slight disagreement, but even Doctor A said this doesn't show signs of a condition called Chiari malformation. It's a minor finding that may not mean anything.
3. Sinus Issues
Doctors A and C found some irritation/swelling in your sinuses
Doctor B didn't mention sinus problems
What this means: You likely have some sinus inflammation (like mild sinusitis), which actually could be causing your headaches!
Bottom Line
✅ Your brain structure is healthy and normal
✅ No serious problems were found
✅ The sinus inflammation might be contributing to your headaches
Next Steps
Talk to your doctor about:
Treating the sinus inflammation
Whether the minor cerebellar finding needs follow-up
Other causes of your headaches if sinus treatment doesn't help
Remember: This scan ruled out serious brain problems, which is excellent news! Your headaches likely have a simpler, treatable cause.
Explain this in simple terms
do i need to do any follow ups?
Should You Do Follow-Up Scans or Tests?
Based on these reports, here's what might need follow-up:
🔍 Likely Needs Discussion (But Probably Not Urgent)
The Cerebellar Tonsil Finding
Doctor A mentioned the cerebellar tonsils extending 3-4 mm below normal and recommended "clinical correlation."
What "clinical correlation" means: Your doctor should:
Ask about specific symptoms like:
Headaches that get worse when you cough, sneeze, or strain
Neck pain
Balance problems
Numbness or tingling in hands/feet
If you DON'T have these symptoms: You probably don't need immediate follow-up imaging
If you DO have these symptoms: Your doctor might order additional scans of your neck area or refer you to a neurologist
🤧 Definitely Follow Up On
The Sinus Problems
Two doctors mentioned sinus inflammation, which could be causing your headaches!
You should:
See your primary care doctor or an ENT specialist
Try treatment for sinusitis (may include nasal sprays, antibiotics if bacterial, or allergy management)
See if your headaches improve with sinus treatment
❌ What You Probably DON'T Need
Repeat brain MRI - unless your symptoms change significantly
Emergency follow-up - nothing urgent was found
Brain surgery or procedures - no serious abnormalities detected
📋 My Recommendation
Schedule a regular appointment (not urgent) with your doctor to:
Discuss the sinus findings and get treatment
Review whether your symptoms match the minor cerebellar finding
Make a plan for your headaches
Important: I can't tell you definitively what follow-up you need - only your doctor who knows your full medical history and can examine you can make that decision. But based on these reports, this doesn't appear to be an emergency situation.
Do your headaches have any of those specific symptoms I mentioned (worse with coughing/straining)?
Expert AI
You can ask anything about your MRI reprot
Ask a question about report
Summary
Report 1
Report 2
Report 3
Summary
Report 1
Report 2
Report 3
Neuro MRI Summary
Your brain MRI shows no evidence of any serious problems such as stroke, tumor, or other concerning abnormalities.
All three radiologists agreed that the brain tissue, blood vessels, and major structures appear normal and healthy.
There are some minor differences noted between the reports regarding the size of fluid-filled spaces in your brain (ventricles) and the position of a part of your cerebellum (cerebellar tonsils), but these variations fall within normal ranges.
The only finding that might relate to your headaches is some mild inflammation or mucus buildup in your sinuses, which was seen by two of the three radiologists.
Overall, this is reassuring news - your brain MRI does not show any structural cause for your headaches.
Expert AI Summary
Brain Tissue
The brain tissue shows normal structure with proper distinction between gray and white matter, and no abnormal areas or lesions
Verified by 3/3
No signs of stroke or acute lack of blood flow to the brain
Verified by 3/3
No tumors or mass lesions present in the brain
Verified by 3/3
Brain Structure
The midline structures of the brain are properly positioned with no shifting or pressure effects
Verified by 3/3
Ventricles
The fluid-filled spaces (ventricles) in the brain are at the upper limits of normal size, but no signs of fluid buildup (hydrocephalus)
Verified by 1/3
The fluid-filled spaces (ventricles) in the brain are mildly narrow, likely a normal variation
Verified by 1/3
The fluid-filled spaces (ventricles) in the brain are symmetric and within normal limits
Verified by 1/3
Brain Surface
The grooves on the brain surface (sulci) and surrounding fluid spaces appear normal for age
Verified by 2/3
Slightly more prominent grooves at the front of the brain, likely within normal variation
Verified by 1/3
Posterior Fossa
The cerebellum (balance center at the back of the brain) appears normal in structure and signal
Verified by 3/3
The brainstem appears normal
Verified by 3/3
The cerebellar tonsils (bottom part of the cerebellum) extend 3-4 mm below the skull opening, representing mild tonsillar ectopia without features of Chiari malformation
Verified by1/3
The cerebellar tonsils are at the normal level of the skull opening without downward displacement
Verified by 1/3
The cerebellar tonsils are positioned slightly above the skull opening
Verified by 1/3
Pituitary and Surrounding Structures
The pituitary gland (hormone gland at the base of the brain) is normal in size and appearance
Verified by2/3
The pituitary gland shows mild upward convexity, likely a normal variation for age
Verified by 1/3
Eyes and Optic Nerves
The optic nerves and eye structures appear normal
Verified by 3/3
Ears
The inner ear canals are symmetric and normal
Verified by 3/3
Sinuses
Mild inflammation or mucus thickening in the maxillary and ethmoid sinuses, which may contribute to headaches
Verified by1/3
Partial opacification (cloudiness) of the sphenoid sinus, which may be associated with headaches
Verified by 1/3
The paranasal sinuses are otherwise clear
Verified by 1/3
Radiologists:

Dr Sam Ramsey
Neuro Specialist

Dr Garry Smith
Radiologist

Dr Sara Williams
Neuro Specialist
Your Brain MRI Results - Simple Explanation
The Good News First! 🎉
All three doctors agree: Your brain MRI looks normal. There's no sign of:
Stroke or mini-strokes
Brain tumors or masses
Brain damage or injury
Bleeding or fluid buildup
What the Doctors Found
Think of your brain scan like a detailed map of your brain. Here's what they noticed:
1. Minor Differences in Brain Fluid Spaces
Doctor A saw slightly larger spaces on the front of your brain (probably normal for you)
Doctor B said your brain's fluid chambers are at the upper end of normal
Doctor C said these chambers are slightly narrow
What this means: These are just normal variations - like how some people have bigger or smaller shoe sizes. Nothing concerning here.
2. Cerebellar Tonsils Position
This is a small structure at the bottom of your brain.
Doctor A noticed it extends 3-4 mm lower than typical, calling it "mild tonsillar ectopia"
Doctors B and C said it's in normal position
What this means: There's a slight disagreement, but even Doctor A said this doesn't show signs of a condition called Chiari malformation. It's a minor finding that may not mean anything.
3. Sinus Issues
Doctors A and C found some irritation/swelling in your sinuses
Doctor B didn't mention sinus problems
What this means: You likely have some sinus inflammation (like mild sinusitis), which actually could be causing your headaches!
Bottom Line
✅ Your brain structure is healthy and normal
✅ No serious problems were found
✅ The sinus inflammation might be contributing to your headaches
Next Steps
Talk to your doctor about:
Treating the sinus inflammation
Whether the minor cerebellar finding needs follow-up
Other causes of your headaches if sinus treatment doesn't help
Remember: This scan ruled out serious brain problems, which is excellent news! Your headaches likely have a simpler, treatable cause.
Explain this in simple terms
do i need to do any follow ups?
Should You Do Follow-Up Scans or Tests?
Based on these reports, here's what might need follow-up:
🔍 Likely Needs Discussion (But Probably Not Urgent)
The Cerebellar Tonsil Finding
Doctor A mentioned the cerebellar tonsils extending 3-4 mm below normal and recommended "clinical correlation."
What "clinical correlation" means: Your doctor should:
Ask about specific symptoms like:
Headaches that get worse when you cough, sneeze, or strain
Neck pain
Balance problems
Numbness or tingling in hands/feet
If you DON'T have these symptoms: You probably don't need immediate follow-up imaging
If you DO have these symptoms: Your doctor might order additional scans of your neck area or refer you to a neurologist
🤧 Definitely Follow Up On
The Sinus Problems
Two doctors mentioned sinus inflammation, which could be causing your headaches!
You should:
See your primary care doctor or an ENT specialist
Try treatment for sinusitis (may include nasal sprays, antibiotics if bacterial, or allergy management)
See if your headaches improve with sinus treatment
❌ What You Probably DON'T Need
Repeat brain MRI - unless your symptoms change significantly
Emergency follow-up - nothing urgent was found
Brain surgery or procedures - no serious abnormalities detected
📋 My Recommendation
Schedule a regular appointment (not urgent) with your doctor to:
Discuss the sinus findings and get treatment
Review whether your symptoms match the minor cerebellar finding
Make a plan for your headaches
Important: I can't tell you definitively what follow-up you need - only your doctor who knows your full medical history and can examine you can make that decision. But based on these reports, this doesn't appear to be an emergency situation.
Do your headaches have any of those specific symptoms I mentioned (worse with coughing/straining)?
Expert AI
You can ask anything about your MRI reprot


Social
X (Twitter)
Youtube
Powered by
Privacy & ethics
Privacy isn’t a feature. It’s the baseline.

Your scans stay protected
Your scans are stored securely in Google Cloud Healthcare, using HIPAA- and GDPR-aligned protections.
Access is tightly limited
Your medical images are accessible only to approved systems and assigned specialists involved in your case
45yo Female
45yo Female

Modality: MRI
Modality: MRI


Brain MRI
Brain MRI
Hesam Mousavizadeh
Hesam Mousavizadeh
Patient:
Patient:
Your identity stays private
Your name and personal identifiers are hidden by default even for doctors


Social
X (Twitter)
Youtube
Powered by

Expert.Med Report
What an Expert report looks like
We break complex medical findings into clear highlights, summarize what matters most, and show exactly where our opinion matches — or differs from — the original report.

Plain-Enlgish highlight
AI Summary
Agreement/ Disagreement
Case Overview
A 29-year-old male presents with persistent headache, requiring exclusion of intracranial pathology...
Question:
I’ve been having frequent headaches. Is there anything on the MRI that could explain them, or anything subtle that should be looked at more closely?
Original report:
Inconclusive
Body area:
🧠 Brain /
Intracranial structures
Imaging type:

MRI
DICOM Images:
Brain .DIC...

T-1 T-12 .DI...

Report .PDF
Expert Report
This is the same structure you receive — nothing removed, nothing simplified.
Neuro MRI Summary
Your brain MRI shows no evidence of any serious problems such as stroke, tumor, or other concerning abnormalities.
All three radiologists agreed that the brain tissue, blood vessels, and major structures appear normal and healthy.
There are some minor differences noted between the reports regarding the size of fluid-filled spaces in your brain (ventricles) and the position of a part of your cerebellum (cerebellar tonsils), but these variations fall within normal ranges.
The only finding that might relate to your headaches is some mild inflammation or mucus buildup in your sinuses, which was seen by two of the three radiologists.
Overall, this is reassuring news - your brain MRI does not show any structural cause for your headaches.
Expert AI Summary
Brain Tissue
The brain tissue shows normal structure with proper distinction between gray and white matter, and no abnormal areas or lesions
Verified by 3/3
No signs of stroke or acute lack of blood flow to the brain
Verified by 3/3
No tumors or mass lesions present in the brain
Verified by 3/3
Brain Structure
The midline structures of the brain are properly positioned with no shifting or pressure effects
Verified by 3/3
Ventricles
The fluid-filled spaces (ventricles) in the brain are at the upper limits of normal size, but no signs of fluid buildup (hydrocephalus)
Verified by 1/3
The fluid-filled spaces (ventricles) in the brain are mildly narrow, likely a normal variation
Verified by 1/3
The fluid-filled spaces (ventricles) in the brain are symmetric and within normal limits
Verified by 1/3
Brain Surface
The grooves on the brain surface (sulci) and surrounding fluid spaces appear normal for age
Verified by 2/3
Slightly more prominent grooves at the front of the brain, likely within normal variation
Verified by 1/3
Posterior Fossa
The cerebellum (balance center at the back of the brain) appears normal in structure and signal
Verified by 3/3
The brainstem appears normal
Verified by 3/3
The cerebellar tonsils (bottom part of the cerebellum) extend 3-4 mm below the skull opening, representing mild tonsillar ectopia without features of Chiari malformation
Verified by1/3
The cerebellar tonsils are at the normal level of the skull opening without downward displacement
Verified by 1/3
The cerebellar tonsils are positioned slightly above the skull opening
Verified by 1/3
Pituitary and Surrounding Structures
The pituitary gland (hormone gland at the base of the brain) is normal in size and appearance
Verified by2/3
The pituitary gland shows mild upward convexity, likely a normal variation for age
Verified by 1/3
Eyes and Optic Nerves
The optic nerves and eye structures appear normal
Verified by 3/3
Ears
The inner ear canals are symmetric and normal
Verified by 3/3
Sinuses
Mild inflammation or mucus thickening in the maxillary and ethmoid sinuses, which may contribute to headaches
Verified by1/3
Partial opacification (cloudiness) of the sphenoid sinus, which may be associated with headaches
Verified by 1/3
The paranasal sinuses are otherwise clear
Verified by 1/3
Radiologists:

Dr Sam Ramsey
Neuro Specialist

Dr Sara Williams
Neuro Specialist

Dr Garry Smith
Radiologist
Your Brain MRI Results - Simple Explanation
The Good News First! 🎉
All three doctors agree: Your brain MRI looks normal. There's no sign of:
Stroke or mini-strokes
Brain tumors or masses
Brain damage or injury
Bleeding or fluid buildup
What the Doctors Found
Think of your brain scan like a detailed map of your brain. Here's what they noticed:
1. Minor Differences in Brain Fluid Spaces
Doctor A saw slightly larger spaces on the front of your brain (probably normal for you)
Doctor B said your brain's fluid chambers are at the upper end of normal
Doctor C said these chambers are slightly narrow
What this means: These are just normal variations - like how some people have bigger or smaller shoe sizes. Nothing concerning here.
2. Cerebellar Tonsils Position
This is a small structure at the bottom of your brain.
Doctor A noticed it extends 3-4 mm lower than typical, calling it "mild tonsillar ectopia"
Doctors B and C said it's in normal position
What this means: There's a slight disagreement, but even Doctor A said this doesn't show signs of a condition called Chiari malformation. It's a minor finding that may not mean anything.
3. Sinus Issues
Doctors A and C found some irritation/swelling in your sinuses
Doctor B didn't mention sinus problems
What this means: You likely have some sinus inflammation (like mild sinusitis), which actually could be causing your headaches!
Bottom Line
✅ Your brain structure is healthy and normal
✅ No serious problems were found
✅ The sinus inflammation might be contributing to your headaches
Next Steps
Talk to your doctor about:
Treating the sinus inflammation
Whether the minor cerebellar finding needs follow-up
Other causes of your headaches if sinus treatment doesn't help
Remember: This scan ruled out serious brain problems, which is excellent news! Your headaches likely have a simpler, treatable cause.
Explain this in simple terms
do i need to do any follow ups?
Should You Do Follow-Up Scans or Tests?
Based on these reports, here's what might need follow-up:
🔍 Likely Needs Discussion (But Probably Not Urgent)
The Cerebellar Tonsil Finding
Doctor A mentioned the cerebellar tonsils extending 3-4 mm below normal and recommended "clinical correlation."
What "clinical correlation" means: Your doctor should:
Ask about specific symptoms like:
Headaches that get worse when you cough, sneeze, or strain
Neck pain
Balance problems
Numbness or tingling in hands/feet
If you DON'T have these symptoms: You probably don't need immediate follow-up imaging
If you DO have these symptoms: Your doctor might order additional scans of your neck area or refer you to a neurologist
🤧 Definitely Follow Up On
The Sinus Problems
Two doctors mentioned sinus inflammation, which could be causing your headaches!
You should:
See your primary care doctor or an ENT specialist
Try treatment for sinusitis (may include nasal sprays, antibiotics if bacterial, or allergy management)
See if your headaches improve with sinus treatment
❌ What You Probably DON'T Need
Repeat brain MRI - unless your symptoms change significantly
Emergency follow-up - nothing urgent was found
Brain surgery or procedures - no serious abnormalities detected
📋 My Recommendation
Schedule a regular appointment (not urgent) with your doctor to:
Discuss the sinus findings and get treatment
Review whether your symptoms match the minor cerebellar finding
Make a plan for your headaches
Important: I can't tell you definitively what follow-up you need - only your doctor who knows your full medical history and can examine you can make that decision. But based on these reports, this doesn't appear to be an emergency situation.
Do your headaches have any of those specific symptoms I mentioned (worse with coughing/straining)?
Expert AI
You can ask anything about your MRI reprot
Ask a question about report
Summary
Report 1
Report 2
Report 3
Neuro MRI Summary
Your brain MRI shows no evidence of any serious problems such as stroke, tumor, or other concerning abnormalities.
All three radiologists agreed that the brain tissue, blood vessels, and major structures appear normal and healthy.
There are some minor differences noted between the reports regarding the size of fluid-filled spaces in your brain (ventricles) and the position of a part of your cerebellum (cerebellar tonsils), but these variations fall within normal ranges.
The only finding that might relate to your headaches is some mild inflammation or mucus buildup in your sinuses, which was seen by two of the three radiologists.
Overall, this is reassuring news - your brain MRI does not show any structural cause for your headaches.
Expert AI Summary
Brain Tissue
The brain tissue shows normal structure with proper distinction between gray and white matter, and no abnormal areas or lesions
Verified by 3/3
No signs of stroke or acute lack of blood flow to the brain
Verified by 3/3
No tumors or mass lesions present in the brain
Verified by 3/3
Brain Structure
The midline structures of the brain are properly positioned with no shifting or pressure effects
Verified by 3/3
Ventricles
The fluid-filled spaces (ventricles) in the brain are at the upper limits of normal size, but no signs of fluid buildup (hydrocephalus)
Verified by 1/3
The fluid-filled spaces (ventricles) in the brain are mildly narrow, likely a normal variation
Verified by 1/3
The fluid-filled spaces (ventricles) in the brain are symmetric and within normal limits
Verified by 1/3
Brain Surface
The grooves on the brain surface (sulci) and surrounding fluid spaces appear normal for age
Verified by 2/3
Slightly more prominent grooves at the front of the brain, likely within normal variation
Verified by 1/3
Posterior Fossa
The cerebellum (balance center at the back of the brain) appears normal in structure and signal
Verified by 3/3
The brainstem appears normal
Verified by 3/3
The cerebellar tonsils (bottom part of the cerebellum) extend 3-4 mm below the skull opening, representing mild tonsillar ectopia without features of Chiari malformation
Verified by1/3
The cerebellar tonsils are at the normal level of the skull opening without downward displacement
Verified by 1/3
The cerebellar tonsils are positioned slightly above the skull opening
Verified by 1/3
Pituitary and Surrounding Structures
The pituitary gland (hormone gland at the base of the brain) is normal in size and appearance
Verified by2/3
The pituitary gland shows mild upward convexity, likely a normal variation for age
Verified by 1/3
Eyes and Optic Nerves
The optic nerves and eye structures appear normal
Verified by 3/3
Ears
The inner ear canals are symmetric and normal
Verified by 3/3
Sinuses
Mild inflammation or mucus thickening in the maxillary and ethmoid sinuses, which may contribute to headaches
Verified by1/3
Partial opacification (cloudiness) of the sphenoid sinus, which may be associated with headaches
Verified by 1/3
The paranasal sinuses are otherwise clear
Verified by 1/3
Radiologists:

Dr Sam Ramsey
Neuro Specialist

Dr Sara Williams
Neuro Specialist

Dr Garry Smith
Radiologist
Your Brain MRI Results - Simple Explanation
The Good News First! 🎉
All three doctors agree: Your brain MRI looks normal. There's no sign of:
Stroke or mini-strokes
Brain tumors or masses
Brain damage or injury
Bleeding or fluid buildup
What the Doctors Found
Think of your brain scan like a detailed map of your brain. Here's what they noticed:
1. Minor Differences in Brain Fluid Spaces
Doctor A saw slightly larger spaces on the front of your brain (probably normal for you)
Doctor B said your brain's fluid chambers are at the upper end of normal
Doctor C said these chambers are slightly narrow
What this means: These are just normal variations - like how some people have bigger or smaller shoe sizes. Nothing concerning here.
2. Cerebellar Tonsils Position
This is a small structure at the bottom of your brain.
Doctor A noticed it extends 3-4 mm lower than typical, calling it "mild tonsillar ectopia"
Doctors B and C said it's in normal position
What this means: There's a slight disagreement, but even Doctor A said this doesn't show signs of a condition called Chiari malformation. It's a minor finding that may not mean anything.
3. Sinus Issues
Doctors A and C found some irritation/swelling in your sinuses
Doctor B didn't mention sinus problems
What this means: You likely have some sinus inflammation (like mild sinusitis), which actually could be causing your headaches!
Bottom Line
✅ Your brain structure is healthy and normal
✅ No serious problems were found
✅ The sinus inflammation might be contributing to your headaches
Next Steps
Talk to your doctor about:
Treating the sinus inflammation
Whether the minor cerebellar finding needs follow-up
Other causes of your headaches if sinus treatment doesn't help
Remember: This scan ruled out serious brain problems, which is excellent news! Your headaches likely have a simpler, treatable cause.
Explain this in simple terms
do i need to do any follow ups?
Should You Do Follow-Up Scans or Tests?
Based on these reports, here's what might need follow-up:
🔍 Likely Needs Discussion (But Probably Not Urgent)
The Cerebellar Tonsil Finding
Doctor A mentioned the cerebellar tonsils extending 3-4 mm below normal and recommended "clinical correlation."
What "clinical correlation" means: Your doctor should:
Ask about specific symptoms like:
Headaches that get worse when you cough, sneeze, or strain
Neck pain
Balance problems
Numbness or tingling in hands/feet
If you DON'T have these symptoms: You probably don't need immediate follow-up imaging
If you DO have these symptoms: Your doctor might order additional scans of your neck area or refer you to a neurologist
🤧 Definitely Follow Up On
The Sinus Problems
Two doctors mentioned sinus inflammation, which could be causing your headaches!
You should:
See your primary care doctor or an ENT specialist
Try treatment for sinusitis (may include nasal sprays, antibiotics if bacterial, or allergy management)
See if your headaches improve with sinus treatment
❌ What You Probably DON'T Need
Repeat brain MRI - unless your symptoms change significantly
Emergency follow-up - nothing urgent was found
Brain surgery or procedures - no serious abnormalities detected
📋 My Recommendation
Schedule a regular appointment (not urgent) with your doctor to:
Discuss the sinus findings and get treatment
Review whether your symptoms match the minor cerebellar finding
Make a plan for your headaches
Important: I can't tell you definitively what follow-up you need - only your doctor who knows your full medical history and can examine you can make that decision. But based on these reports, this doesn't appear to be an emergency situation.
Do your headaches have any of those specific symptoms I mentioned (worse with coughing/straining)?
Expert AI
You can ask anything about your MRI reprot
Ask a question about report
Summary
Report 1
Report 2
Report 3
Summary
Report 1
Report 2
Report 3
Neuro MRI Summary
Your brain MRI shows no evidence of any serious problems such as stroke, tumor, or other concerning abnormalities.
All three radiologists agreed that the brain tissue, blood vessels, and major structures appear normal and healthy.
There are some minor differences noted between the reports regarding the size of fluid-filled spaces in your brain (ventricles) and the position of a part of your cerebellum (cerebellar tonsils), but these variations fall within normal ranges.
The only finding that might relate to your headaches is some mild inflammation or mucus buildup in your sinuses, which was seen by two of the three radiologists.
Overall, this is reassuring news - your brain MRI does not show any structural cause for your headaches.
Expert AI Summary
Brain Tissue
The brain tissue shows normal structure with proper distinction between gray and white matter, and no abnormal areas or lesions
Verified by 3/3
No signs of stroke or acute lack of blood flow to the brain
Verified by 3/3
No tumors or mass lesions present in the brain
Verified by 3/3
Brain Structure
The midline structures of the brain are properly positioned with no shifting or pressure effects
Verified by 3/3
Ventricles
The fluid-filled spaces (ventricles) in the brain are at the upper limits of normal size, but no signs of fluid buildup (hydrocephalus)
Verified by 1/3
The fluid-filled spaces (ventricles) in the brain are mildly narrow, likely a normal variation
Verified by 1/3
The fluid-filled spaces (ventricles) in the brain are symmetric and within normal limits
Verified by 1/3
Brain Surface
The grooves on the brain surface (sulci) and surrounding fluid spaces appear normal for age
Verified by 2/3
Slightly more prominent grooves at the front of the brain, likely within normal variation
Verified by 1/3
Posterior Fossa
The cerebellum (balance center at the back of the brain) appears normal in structure and signal
Verified by 3/3
The brainstem appears normal
Verified by 3/3
The cerebellar tonsils (bottom part of the cerebellum) extend 3-4 mm below the skull opening, representing mild tonsillar ectopia without features of Chiari malformation
Verified by1/3
The cerebellar tonsils are at the normal level of the skull opening without downward displacement
Verified by 1/3
The cerebellar tonsils are positioned slightly above the skull opening
Verified by 1/3
Pituitary and Surrounding Structures
The pituitary gland (hormone gland at the base of the brain) is normal in size and appearance
Verified by2/3
The pituitary gland shows mild upward convexity, likely a normal variation for age
Verified by 1/3
Eyes and Optic Nerves
The optic nerves and eye structures appear normal
Verified by 3/3
Ears
The inner ear canals are symmetric and normal
Verified by 3/3
Sinuses
Mild inflammation or mucus thickening in the maxillary and ethmoid sinuses, which may contribute to headaches
Verified by1/3
Partial opacification (cloudiness) of the sphenoid sinus, which may be associated with headaches
Verified by 1/3
The paranasal sinuses are otherwise clear
Verified by 1/3
Radiologists:

Dr Sam Ramsey
Neuro Specialist

Dr Garry Smith
Radiologist

Dr Sara Williams
Neuro Specialist
Your Brain MRI Results - Simple Explanation
The Good News First! 🎉
All three doctors agree: Your brain MRI looks normal. There's no sign of:
Stroke or mini-strokes
Brain tumors or masses
Brain damage or injury
Bleeding or fluid buildup
What the Doctors Found
Think of your brain scan like a detailed map of your brain. Here's what they noticed:
1. Minor Differences in Brain Fluid Spaces
Doctor A saw slightly larger spaces on the front of your brain (probably normal for you)
Doctor B said your brain's fluid chambers are at the upper end of normal
Doctor C said these chambers are slightly narrow
What this means: These are just normal variations - like how some people have bigger or smaller shoe sizes. Nothing concerning here.
2. Cerebellar Tonsils Position
This is a small structure at the bottom of your brain.
Doctor A noticed it extends 3-4 mm lower than typical, calling it "mild tonsillar ectopia"
Doctors B and C said it's in normal position
What this means: There's a slight disagreement, but even Doctor A said this doesn't show signs of a condition called Chiari malformation. It's a minor finding that may not mean anything.
3. Sinus Issues
Doctors A and C found some irritation/swelling in your sinuses
Doctor B didn't mention sinus problems
What this means: You likely have some sinus inflammation (like mild sinusitis), which actually could be causing your headaches!
Bottom Line
✅ Your brain structure is healthy and normal
✅ No serious problems were found
✅ The sinus inflammation might be contributing to your headaches
Next Steps
Talk to your doctor about:
Treating the sinus inflammation
Whether the minor cerebellar finding needs follow-up
Other causes of your headaches if sinus treatment doesn't help
Remember: This scan ruled out serious brain problems, which is excellent news! Your headaches likely have a simpler, treatable cause.
Explain this in simple terms
do i need to do any follow ups?
Should You Do Follow-Up Scans or Tests?
Based on these reports, here's what might need follow-up:
🔍 Likely Needs Discussion (But Probably Not Urgent)
The Cerebellar Tonsil Finding
Doctor A mentioned the cerebellar tonsils extending 3-4 mm below normal and recommended "clinical correlation."
What "clinical correlation" means: Your doctor should:
Ask about specific symptoms like:
Headaches that get worse when you cough, sneeze, or strain
Neck pain
Balance problems
Numbness or tingling in hands/feet
If you DON'T have these symptoms: You probably don't need immediate follow-up imaging
If you DO have these symptoms: Your doctor might order additional scans of your neck area or refer you to a neurologist
🤧 Definitely Follow Up On
The Sinus Problems
Two doctors mentioned sinus inflammation, which could be causing your headaches!
You should:
See your primary care doctor or an ENT specialist
Try treatment for sinusitis (may include nasal sprays, antibiotics if bacterial, or allergy management)
See if your headaches improve with sinus treatment
❌ What You Probably DON'T Need
Repeat brain MRI - unless your symptoms change significantly
Emergency follow-up - nothing urgent was found
Brain surgery or procedures - no serious abnormalities detected
📋 My Recommendation
Schedule a regular appointment (not urgent) with your doctor to:
Discuss the sinus findings and get treatment
Review whether your symptoms match the minor cerebellar finding
Make a plan for your headaches
Important: I can't tell you definitively what follow-up you need - only your doctor who knows your full medical history and can examine you can make that decision. But based on these reports, this doesn't appear to be an emergency situation.
Do your headaches have any of those specific symptoms I mentioned (worse with coughing/straining)?
Expert AI
You can ask anything about your MRI reprot


Social
X (Twitter)
Youtube
Powered by
Privacy & ethics
Privacy isn’t a feature. It’s the baseline.

Your scans stay protected
Your scans are stored securely in Google Cloud Healthcare, using HIPAA- and GDPR-aligned protections.
Access is tightly limited
Your medical images are accessible only to approved systems and assigned specialists involved in your case
45yo Female

Modality: MRI


Brain MRI
Hesam Mousavizadeh
Patient:
Your identity stays private
Your name and personal identifiers are hidden by default even for doctors


Social
X (Twitter)
Youtube
Powered by
